Next Congress

3rd International Symposium for Plant Vascular Pathosystems (ISPVP) | October 20–23, 2026 | South Padre Island, Texas

ISPVP convenes a research community focused on vascular pathogen systems,insect vectors and their ecological, molecular, and translational dimensions.

Theme

Confronting Endemic and Emerging Plant Vascular Pathogens, Insect Vectors, and Diseases Together.

Venue Preview

Holiday Inn Resort And South Padre Island

Holiday Inn Resort South Padre Island exterior view
Holiday Inn Resort South Padre Island
South Padre Island beach view
South Padre Island Beach
Sunset over South Padre Island shoreline
South Padre Sunset
Causeway to South Padre Island
Causeway to South Padre
Boardwalk at South Padre Island Birding Center
South Padre Boardwalk
South Padre Island bay view
South Padre Bay
South Padre Island skyline with palms
South Padre Skyline

Photos from Wikimedia Commons (open licenses): Beach, Sunset, Causeway, Boardwalk, Bay, Skyline.

Scientific Scope

Pathogen and Vector Biology

Comparative biology of vascular colonizers and associated vectors across perennial and annual crop systems.

Diagnostics and Epidemiology

Field-to-lab pipelines, early detection, surveillance strategies, and quantitative risk modeling.

Intervention and Translation

Breeding, biotechnology, and integrated disease management for practical deployment.

Common symptoms of phytoplasma infection observed in periwinkle
Common symptoms of phytoplasma infection observed in periwinkle. Reference: Chavez (2014).
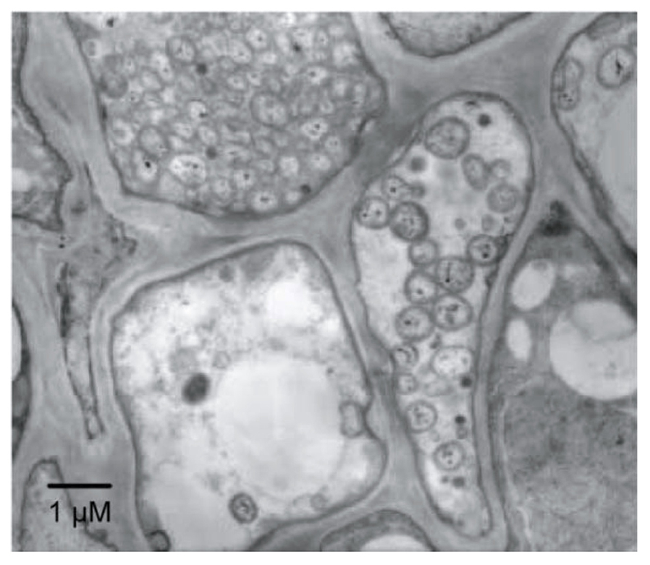
Electron microphotograph of Candidatus Phytoplasma asteris infecting the plant phloem
Electron microphotograph of Candidatus Phytoplasma asteris infecting the plant phloem. Reference: Oshima, Maejima, & Namba (2013).
Unique symptoms caused by phytoplasma infection
Unique symptoms caused by phytoplasma infection. Reference: Maejima, Oshima, & Namba (2014).
Oncopsis alni nymph and adult
Oncopsis alni nymph and adult. Reference: Alma, Lessio, & Nickel (2019).
Symptoms of Pierce's disease in grapevines caused by Xylella fastidiosa
Symptoms of Pierce's disease in grapevines caused by Xylella fastidiosa (courtesy A.C. Goheen; reproduced from Compendium of Grape Diseases, 1988, American Phytopathological Society, St. Paul, MN).
The glassy-winged sharpshooter leafhopper vector of Xylella fastidiosa
The glassy-winged sharpshooter leafhopper vector of Xylella fastidiosa (courtesy B. Bextine, Fletcher and Wayadande, 2002, The Plant Health Instructor).
Adult Asian citrus psyllid on a young citrus leaf
Adult Asian citrus psyllid on a young citrus leaf. Reference: USDA ARS / David Hall.
Healthy and HLB affected grapefruit comparison
Healthy vs HLB affected grapefruit. Credit: Mandadi Lab.
Potato zebra chip affected tuber
Potato zebra chip affected tuber. Credit: Mandadi Lab.
Symptoms of potato brown rot and tomato bacterial wilt caused by R. solanacearum
Potato brown rot and tomato bacterial wilt symptoms caused by R. solanacearum. Reference: D. P. Weingartner / Clemson University / USDA Cooperative Extension Slide Series / Bugwood.org.
Additional potato brown rot and tomato bacterial wilt image
Potato brown rot and tomato bacterial wilt symptoms. Reference: Clemson University / USDA Cooperative Extension Slide Series / Bugwood.org.
Brown discoloration of stem tissues caused by R. solanacearum
Brown discoloration of stem tissues caused by R. solanacearum. Reference: Clemson University / USDA Cooperative Extension Slide Series / Bugwood.org.
Root-knot nematode symptoms on Rutgers tomato roots
Root-knot nematode symptoms on tomato roots. Reference: T. Schwarz, NC State University.
Field symptoms of Fusarium wilt in cotton
Field symptoms of Fusarium wilt in cotton. Reference: Le et al. (2022).
Symptomatic tomato plant infected with TYLCV showing leaf curl
Symptomatic tomato plant infected with TYLCV showing leaf curl. Reference: Inga Meadows.
Symptoms of corn stunt disease
Symptoms of corn stunt disease. Reference: Dr. Maira Duffeck, Plant Pathologist, Oklahoma State University.
Corn leafhopper on a corn leaf and magnified view
The corn leafhopper (Dalbulus maidis) on a corn leaf (A) and in a magnified view (B). Images kindly provided by Dr. Maira Duffeck, Plant Pathologist, Oklahoma State University.
ISCHPP 2023 group photo
ISCHPP 2023 Group Photo
ISCHPP 2023 leadership group photo
ISCHPP 2023 Group Photo-II
ISCHPP 2023 conference activity
Conference Moments
ISCHPP 2023 event snapshot
Event Snapshot
Selected highlights from the ISCHPP 2023 meeting in Clearwater Beach, Florida.